WZ20230318-1-025-10

By albert , 13 September 2025
sample
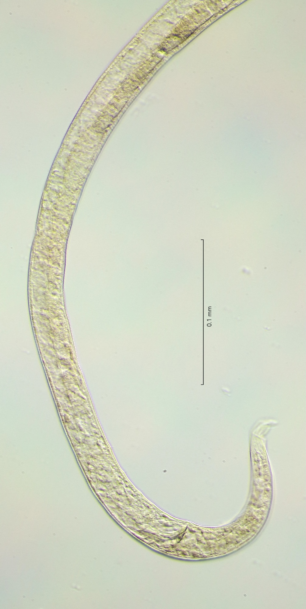
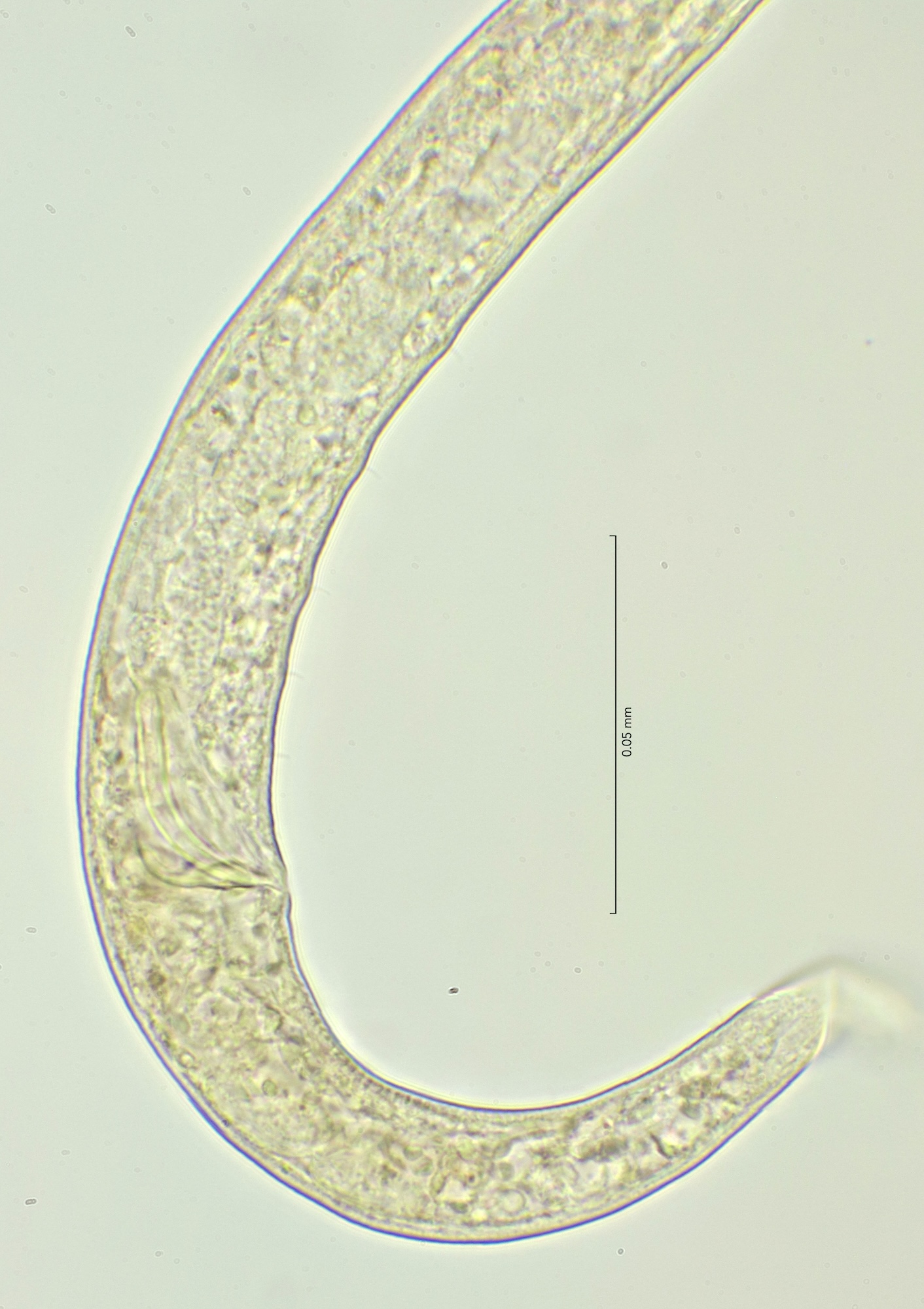
species
Microlaimus acanthus
age
Adult
gender
Male

measurements and indices

L hd mbd abd Oesophagus Tail V a b c c'
1374 12 35 26 151 131 39.3 9.1 10.5 5.0

notes

cephalic setae 5 mu, right amphid diameter 10 mu (0,5 cbd) 15 mu from anterior, left amphid diameter 10,5mu 21 mu from anterior, spicula 36 mu, gubernaculum 22mu, 5 supplements?

images

Image
overview, 10x
Image
head region, 40x
Image
head region, obligue lighting, stack showing position of both amphids, 40x
Image
tail region, 40x
Image
tail region, obligue lighting, 40x
Image
head region, 100x
Image
head region with right amphid, 100x
Image
head region with left amphid, 100x
Image
tail region, stack, 100x

vidoes

Video file
head region, 100x
Video file
tail region, 100x